
“Mammogram” “survivor” “cancer” familiar words to most of us.
“Breast Density”, is a less familiar term that connects all these words. Women need to know about it, so please, please share.
High Blood pressure or high Cholesterol can go unseen but when discovered, will usually prompt an immediate response from your medical team. If not monitored or left untreated, conditions like these may have damaging and even irreversible health consequences.

Breast density cannot be seen. It cannot be felt by touch and has nothing to do with breast size or shape. When it is detected by Mammogram, it does not routinely prompt a response from your medical team. For women with Dense Breasts this omission can have devastating impacts and may lead to delayed breast cancer diagnosis.

More than 40% of women have Dense Breasts. Less than one in ten women will learn about this from her Doctor. Current Irish Breast Screening protocols do not require that women are made aware of the Density of their breast tissue. Women with Dense Breasts are being left unaware of the associated mammography risks.


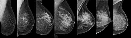
On mammograms, dense breast tissue looks white. Breast masses or tumors also look white, so the dense tissue can hide some tumors. In contrast, fatty tissue looks almost black. On a black background it’s easier to see a tumor that looks white. So, mammograms can be less accurate in women with dense breasts.
Knowing your Breast Density is as important as knowing your Blood Pressure. Knowing your Breast Density, may save your life. Yet even following regular mammograms, most women, up to 90% remain uninformed of their breast density.

Jo Ann Pushkin Exec Director of http://www.Densebreast-info.org only discovered her breast density on the day her Stage II breast cancer was diagnosed. She talked to Hers Magazine about this some time ago……. link below.
8 Oct 2016 · An interview with JoAnn Pushkin, breast density …
http://www.Beingdense.com is based in Ireland. We began in 2016. Through collaberation with global Breast Density researchers, radiologists, educators and awareness partners, we aim to influence changes to current Irish breast screening protocols and ensure Breast Density notification is introduced as standard mammography reporting criteria.
We are all in this together #BeDenseAware #Earlydetection
http://www.beingdense.com http://www.areyoudense.org http://www.densebreast-info.org http://www.Informd.org.au http://www.Densebreastscanada.ca http://www.BreastdensityMatters.org
