You are not Dense but are your Breasts?
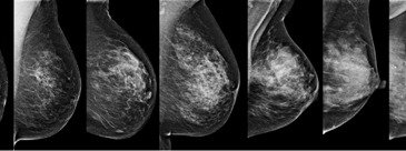
Breast Density is now one of the strongest predictors of the failure of screening mammography to detect breast. … More You are not Dense but are your Breasts?
Breast Density is now one of the strongest predictors of the failure of screening mammography to detect breast. … More You are not Dense but are your Breasts?
Women are being kept in the dark over the most important clue as to whether they will get breast cancer, leading doctors warned last night. Breast density is a much more important risk factor even than family history for most people, they say. Among younger women, four in ten cases of breast cancer can be blamed … More Daily Mail-Breast Density is Breast Cancer risk
Women with dense breasts need to have supplementary screening like Ultrasound or MRI … More #informwomen 👭 significance of ultrasound with mammogram
Dr Mark Porter BBC Radio 4, asks pertinent questions in relation to breast density and the devastating associated breast cancer risks. Hit link below to hear in full. Dr Mark Porter discusses Breast Density with Prof Jack Cuzick Head of Cancer Prevention Queen Mary University London Excerpts from the programme below – Karla Kerlikowske is … More BBC Radio4 tackles Breast Density issue
READ ONE – SHARE TWO Read one share TWO this weekend. PLEASE tag TWO women friends, relatives or colleagues and ask them to like and share on FB 👭👭 Smart women know about Being Dense spread the word #breastdensity (.) (.) Breast Density does not discriminate 👭 40% of women have dense breast tissue, many do … More Being dense is not ok – smart women know
American and Japanese breast radiologists are on record to say they cannot see clearly through mammographic Breast Density. Women with dense breasts, in these countries, are informed accordingly and are advised to avail of supplementary breast screening like Ultrasound or MRI. How do American and Japanese women differ from Irish women? Irish women are NOT … More Japanese women now in the know about being dense