Mammography has been the accepted ‘Gold Standard’ when it comes to breast cancer screening. There is growing acknowledgement however, among researchers, that Breast Density affects the sensitivity of Mammograms.
Decades of research supports this and there is mounting global discussion as to why Breast Density is not being reported to women.

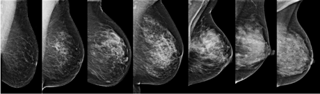
40% of women in the 45 – 55 age group have Dense Breasts. If these women were informed about this, they would be able to make an informed decision about supplemental screening, like Ultrasound and Mri.
Currently women in Ireland are NOT informed about their breast density levels.
Professor Mary Rickard, chief radiologist at the Sydney Breast Clinic, said the risks associated with high breast density were second only to those caused by gene mutations.
“If you know that your mammographic density is high, then you can make sure that your breast cancer screening is personalised and tailored to your risk,” she said.
Breast density is recognised internationally as a risk factor, and in the US and Europe a personalised approach to screening has been embraced,” Professor Rickard said
Full report from Cathy O’Leary Medical Editor of The West Australia
http://www.Beingdense.com advocates that women should be routinely informed about their breast density and also advised about supplemental screening as appropriate.

With involvement and support of Irish health professionals, patients and breast screening partnerships, Beingdense believes that this is possible.
For medically proven information on Breast Density please see
http://www.InforMD.org.au http://www.Densebreast-info.org
