Ten partners from seven European countries were involved in a project which looked specifically at the risk that women with breast density face. This study began in 2012 and results were published in November 2015 in the Nederlands. The project was part funded by the European Commision.
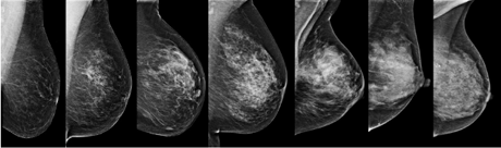
Examples of breast density patterns, with overall density increasing from left to right.
The report strongly suggests that a one size fits all approach to breast screening is not good enough.
The following are excerpts taken from their webpage (www.assure-project.eu)
This is an informative, comprehensive insight into breast density and associated risk factors.
“ASSURE – Adapting Breast Cancer Screening Strategy Using Personalised Risk Estimation – consists of 10 project partners from 7 countries with leading expertise in the field of breast imaging, with the Radboud University Nijmegen Medical Centre as the coordinating partner. The project started in December 2012 and is supported by the European Commission under the 7th Framework Programme for Health Research.”
“Approximately 1 in 8 women develop breast cancer during their lifetime. Screening programs have been introduced, decreasing the mortality rate and allowing for less radical treatment options for early detected cancers. Unfortunately not all cancers are detected in screening. Approximately 30% of breast cancers are detected between screening rounds. This constitutes a need for improved cancer screening.”
“The ASSURE project promotes going from a one-size-fits-all approach to a personalised screening protocol. Nowadays all women undergo the same screening protocol, independent of the density of their breast tissue and the risk to develop breast cancer. Almost all women make use of the same diagnostic modality, X-ray mammography.”
“Unfortunately the sensitivity of mammographic screening is seriously impaired in women with dense breasts. Fibroglandular and stromal tissue look equally bright as tumours on mammographic images. This causes tumours to remain masked for radiologists and thus breast cancer to remain undetected.”
beingdense.com advocates for this information to be shared with Irish women.
WHY ARE OUR MEDICAL PRACTITIONERS KEEPING THIS INFORMATION FROM US?
MAMMOGRAM ALONE MAY NOT BE ENOUGH.
ASK @ breast density levels (.)(.)
info@beingdense.com

